Description du cas clinique :
Un homme de 35 ans, ayant comme seul antécédent un tabagisme sévère (notamment cannabinoïde) et vivant dans la rue, est retrouvé par la brigade des sapeurs-pompiers en détresse respiratoire.
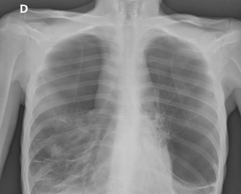
Il présente une défaillance respiratoire subfébrile isolée s’étant installée depuis quelques jours. Il nécessite la mise sous oxygénothérapie jusqu’à 10 L/min au masque à haute concentration pour maintenir une saturation à 95%. A l’examen physique, il présente une diminution diffuse et bilatérale du murmure vésiculaire.
Il est amené au service d’accueil des urgences le plus proche où une radiographie thoracique face/profil) est rapidement réalisée.

CONFLIT D'INTÉRÊTS
Dr Antoine GAILLET,Service de médecine intensive et réanimation, Hôpital Bichat, AP-HP, Paris
L'auteur de cette fiche certifie n’avoir aucun conflit d’intérêt à déclarer.
L’auteur s’est engagé à ne pas publier les images en dehors du site de la SRLF.
Le contenu des fiches Réactu traduit la position de leurs auteurs, mais n’engage ni la CERC ni la SRLF.
Envoyez vos commentaires/réactions à la CERC.
G. LABRO (Secrétaire)
S. BOURCIER
A. BRUYNEEL
A.CAILLET
C. DUPUIS
N. FAGE
JP. FRAT
G. FOSSAT
A. GAILLET
S. GENDREAU
S. GOURSAUD
N. HIMER
O. LESIEUR
A. ROUZÉ
M. THY