REACTU-Image n°47

27/01/2021
Texte

Description du cas

Un patient de 69 ans est hospitalisé pour un bilan de confusion apparue de façon récente.

Habituellement le patient vit avec son épouse, il est autonome pour les actes de la vie quotidienne. Il présente comme principaux antécédents une néphrectomie partielle du rein droit en 2015 sur un carcinome à cellules claires, un diabète de type II sous metformine (son seul traitement habituel), une insuffisance rénale chronique (créatinine de base à 190 micromole/L). Sa famille ne rapporte pas de consommation alcoolo-tabagique ni trouble cognitif antérieur.

L’interrogatoire de la famille met en évidence une altération de l’état général depuis plusieurs mois avec asthénie, anorexie, perte de poids de 10kg en 1 an, difficultés à la marche avec nécessité d’un déambulateur. Le patient est confus depuis une semaine, raison de son hospitalisation.

A l’examen physique, le patient est stable sur le plan respiratoire et hémodynamique, il est apyrétique. Sur le plan neurologique, le patient est apathique, désorienté dans le temps mais pas dans l’espace. Le discours est réduit. Il n’y a pas de dysarthrie. Il existe un nystagmus. Il n’y a pas de déficit sensitivo-moteur des 4 membres. Il n’y a pas de syndrome extra-pyramidal. Les réflexes cutanéo-plantaires sont en flexion. L’examen des paires crâniennes retrouve une paralysie oculomotrice pour le regard vers la droite. Il n’y a pas de diplopie ni de paralysie faciale. La manœuvre doigt-nez fait remarquer une dysmétrie. La marche n’est pas examinée.

Le bilan biologique à l’admission est strictement normal hormis une hyper natrémie à 149 mmol/L et une CRP à 185 mg/L. La ponction lombaire retrouve un liquide clair, normotendu. L’examen cyto-bactério-biochimique met en évidence : 0 GB/mm3, une hyperproteinorachie à 1g/L et une normoglycorachie.

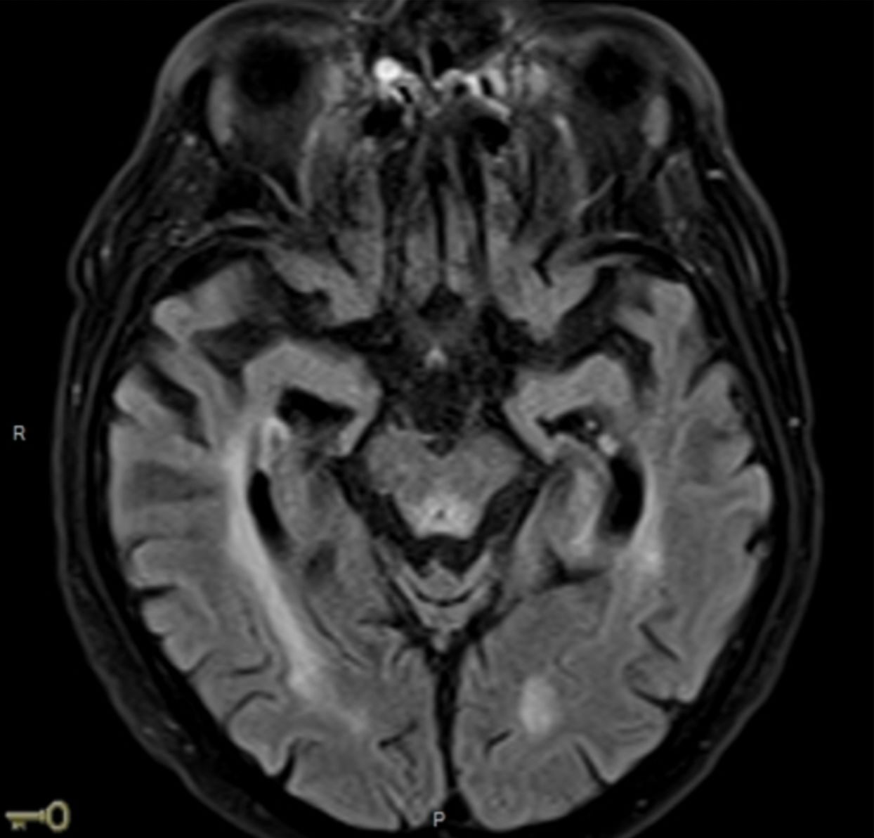
La TDM cérébrale sans injection est sans particularité.

L’IRM est la suivante :

Quel est votre diagnostic ?
Texte

Dr Thibault Vieille, Pr Gaël Piton, Service de Réanimation Médicale, CHRU de Besançon.

Les auteurs de cette fiche certifient n’avoir aucun conflit d’intérêt à déclarer.
Les auteurs se sont engagées à ne pas (avoir) publier(é) la (les) image(s) en dehors du site de la SRLF.
Le contenu des fiches Réactu traduit la position de leurs auteurs mais n’engage ni la CERC ni la SRLF.

Envoyez vos commentaires/réactions à l’un des auteurs (gpiton@chu-besancon.fr) ou à la CERC.

Texte

JB. LASCARROU (Secrétaire)
K. BACHOUMAS
SD. BARBAR
G. DECORMEILLE
N. HEMING
B. HERMANN
G. JACQ
T. KAMEL
JF. LLITJOS
L. OUANES-BESBES
G. PITON
L. POIROUX