Reactu - image 61

12/12/2025
Auteur(s)
Texte

Description du cas clinique :

Un patient de 47 ans, cariste en activité, aux principaux antécédents d’asthme intermittent et de diabète de type 2 sous Metformine, se présente aux urgences pour une dyspnée d’apparition brutale accompagnée d’une douleur thoracique et d’une rhinorrhée évoluant depuis 3 jours. Les constantes sont normales en dehors d’une fébricule (38°C), l’examen clinique met en évidence des crépitants bilatéraux suspendus, le bilan biologique est sans particularité en dehors d’un syndrome inflammatoire biologique, les D-dimères et la troponinémie sont normaux. La radiographie thoracique met en évidence des opacités alvéolaires péri-hilaires. Un traitement par Amoxicilline, corticothérapie systémique et bronchodilatateurs est prescrit en ambulatoire.

Vingt quatre heures plus tard, le patient se présente à nouveau aux urgences pour majoration de la dyspnée et apparition d’une hémoptysie de faible abondance. A son admission il est fébrile (38.4 °C), tachycarde, normotendu sans signe d’hypoperfusion périphérique, en détresse respiratoire sous oxygénothérapie conventionnelle à 15L/min. Le bilan biologique est sans particularité en dehors d’une élévation des d-dimères (5790 ng/ml) et un syndrome inflammatoire biologique (CRP 300 mg/L, hémogramme normal à l’exception d’une lymphopénie à 0.55 G/L). La bandelette urinaire révèle une croix de protéinurie, pas d’hématurie, pas de leucocyturie. Il n’y a pas de signe clinique d’insuffisance ventriculaire droite, l’échocardiographie ne montre pas d’élément en faveur d’une élévation des pressions de remplissage des cavités gauches ni de cœur pulmonaire, l’examen clinique cutanéo-muqueux, articulaire, opthalmologique, ORL ne met pas en évidence d’élément évocateur d’une maladie de système. 

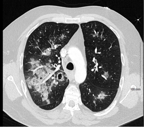
Un angioscanner thoracique est réalisé éliminant une embolie pulmonaire. En voici une coupe :

Image
image

 

Quelle étiologie suspectez-vous ?
Texte

CONFLIT D'INTÉRÊTS

Dr Pierrick Bauduin, Service de médecine intensive et réanimation, CHU Cæn Normandie, CAEN

L'auteur de cette fiche certifie n’avoir aucun conflit d’intérêt à déclarer.
L’auteur s’est engagé à ne pas publier les images en dehors du site de la SRLF.
Le contenu des fiches Réactu traduit la position de leurs auteurs, mais n’engage ni la CERC ni la SRLF.

Envoyez vos commentaires/réactions à  la CERC.

Texte

G. LABRO (Secrétaire)
S. BOURCIER
A. BRUYNEEL
A.CAILLET
C. DUPUIS
N. FAGE
JP. FRAT
G. FOSSAT
A. GAILLET
S. GENDREAU
S. GOURSAUD
N. HIMER
O. LESIEUR
A. ROUZÉ
M. THY